Washington, April 28, 2020, Tuesday
The way the father of three has recovered amid the hundreds of deaths caused by corona every day in America is nothing short of miraculous.
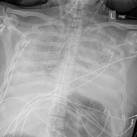
A lawyer named Jim Bello was admitted to Massachusetts General Hospital after being corona. He had a high fever in early March. His condition at the hospital had to be shifted to a more lame ventilator. He had to be kept alive with the help of a heart machine for 9 days when his lungs stopped working.
Doctors had given up hope of Jim's survival, according to media reports. Doctors said Jim's lungs were the worst X-rays he had ever seen. Doctors called Jim's wife, Kim, to see her husband.
Kim sat holding Jim's hand for about three hours, encouraging her husband. Meanwhile, she kept saying, "I and the children need you. You have to fight and you can't leave us like this."
Surprisingly, Jim's condition began to improve after Kim's visit. Doctors say Kim's visit may have helped Jim recover from the brink of death. At the worst time in Jim's life, his wife stayed with him for three hours. Things like that can make a difference.
Within three days, the doctors saw the first ray of hope on an X-ray. On April 14, Jim was removed from the ventilator. Now that he is well, he is back home.
Comments
Post a Comment
What you think about this NEWS please post your valuable comments on this article, we will immediately publish your comments on this page